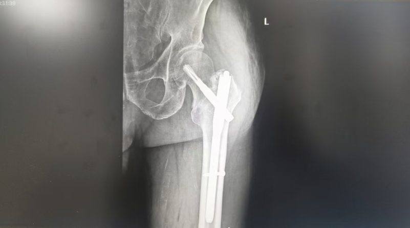
安全环保近日,新疆生产建设兵团第一师十二团医院为78岁的依明尼牙孜•苏则孜老人成功实施了首例股骨转子间骨折闭合复位内固定术,在兵团南疆团场医院尚属首例。

据依明尼牙孜•苏则孜老人的儿子吾斯曼介绍,我爸爸在家上厕所时不慎摔倒,致左髋部剧烈疼痛不适,局部迅速肿胀,活动受限。经休息仍不能缓解,吾斯曼看到爸爸痛苦的样子,就立刻把爸爸送到十二团医院外科门诊就诊。门诊值班医生根据我爸爸的病情,给予心电图、颅脑CT平扫+重建,左股骨CT平扫+CT重建等辅助检查回示,被诊断为左侧股骨转子间粉碎性骨折,门诊医生建议老人立即住院手术治疗。

老年股骨转子间骨折被称为“人生最后一次骨折”,病人一旦骨折,便卧床不起,很容易发生下肢深静脉血栓,裖疮,坠积性肺炎,泌尿系感染等并发症,特别是对于高龄病人,每一个并发症都可能会危及生命。

在住院期间,根据患者的病史及检查结果,结合患者的基础疾病,在征得患者及其家属的同意后,按照手术方案,快速完善术前相关检查和术前评估,并拟定详细的治疗方案和各种并发症预案后。由十二团医院外科主任高喜成主刀,在麻醉科、手术室护士等外科医护团队在术中密切配合下,高喜成凭借丰富的手术经验和精湛的技巧,在十二团医院成功完成首例高龄患者股骨转子间骨折闭合复位内固定术,患者从入院到手术仅用了3个小时,标志着医院创伤骨科的救治水平得到了进一步提升。

术后,依明尼牙孜•苏则孜老人回到病房后,护士长带领护理团队通过预防感染、消肿、止痛等精心治疗与功能康复训练护理后,目前老人恢复良好。高喜成到病房查房时,老人非常高兴,握住高喜成的手激动地说:“十二团医院外科的医护人员‘亚克西’。”

高喜成主任表示,股骨转子间骨折多数与骨质疏松有关,最常见于老年人,以前因多重原因无法手术,患者因此骨折而死亡的发生率高,被誉为“人生最后的骨折”。因此,老人们在生活中一定要注意安全,避免摔伤、跌倒。股骨转子间骨折属于大关节周围的骨折,一旦骨折会严重影响患者的活动及生活质量,同时,符合手术适应症的患者,应尽早接受手术治疗,才能获得最佳恢复效果。

下一步,该院外科将加强学科建设,继续全面提升医疗服务水平,强化医疗服务质量,进一步满足职工群众日益增长的医疗需求,树牢生命至上的理念,弘扬医者仁心的品格,用医者之术点燃生命之火,以医者仁心展现生命之光。(疆生产建设兵团第一师十二团医院:梁明科)