当前位置: 清风网主页 > 经济民生 >
经济民生
70岁男子听力下降、脸部麻木 竟是听神经鞘瘤作怪 第一师医院专家精准摘除
时间 :   2023-10-12 15:05 来源:   清风网 作者:   周满荣 一审:周满荣   二审:宁基   三审:周秋连
耳朵常出现“嗡嗡”声
 
半边脸经常麻木不适
 
当心!
 
这是听神经鞘瘤在作祟!
 
70岁的老王(化名)多年前出现左侧听力变差的症状,认为是上了年纪一直未予重视。两个月前突然出现左侧半边脸麻木不适,听力下降等症状,家人误以为是中风,非常担心,便带他到第一师医院就诊。
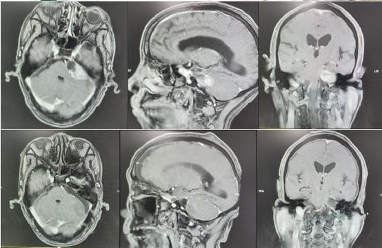
经查,排除了脑出血或脑梗,但核磁共振显示老王脑袋里长了一个鸡蛋大小的肿瘤,这让老王全家陷入了恐惧之中。
 
拿着各项检查结果,老王及家人找到在第一师医院神经外科开展援疆工作的赵明飞副主任(来自浙江大学医学院附属第二医院),经过询问病史和阅片,赵明飞告诉患者及家属,老王的听力障碍及面部麻木等症状可能是脑袋里的这个肿瘤引起的,专业术语叫“听神经鞘瘤”,且大小约3*4cm,属于四级听神经鞘瘤,脑干、小脑已经明显受压移位,需尽快手术治疗,不然后期可能会导致肢体功能障碍、昏迷、甚至危及生命。
 
听完赵明飞的话,老王一家决定尽快手术治疗。于是,完善术前检查后,赵明飞与第一师医院神经外科团队为老王量身制定了全面的手术方案。
 
手术在全麻下进行,术中,赵明飞发现肿瘤充满桥小脑角,与岩静脉、三叉神经等黏连紧密,他带领刘俊医生在显微镜下仔细分离黏连,逐步切除肿瘤,同时应用神经电生理监测技术,仔细分离保护面神经,历经4小时,最终将肿瘤完整切除,正常血管神经完好保留。
术后,老王转入重症医学科观察治疗,当天顺利拔管,第二天转回神经外科病房。患者神志清,四肢活动良好,面神经功能保护良好,术后1周顺利出院。
 
出院时,老王一家激动地向神经外科医护人员辞行,并说,“真的非常感谢援疆专家和第一师医院神经外科团队!”
 
赵明飞介绍:听神经鞘瘤是桥脑小脑角最常见的颅内良性肿瘤之一,它常从前庭耳蜗神经的鞘膜外生长出来,很容易就会贴近或者压迫到面神经或者脑干,是神经外科难度较大,风险较高的手术之一,特别是大型听神经鞘瘤,对面神经的保护是个巨大挑战,第一师医院神经外科目前的设备和技术能熟练开展此类手术。
 
赵明飞提醒:出现耳鸣、面瘫、走路不稳等症状应引起重视。
 
单侧耳鸣是听神经瘤的常见和早期的症状,除了耳鸣以外,听神经瘤早期还会出现听力减退、眩晕、恶心、站立、行走不稳等症状。由于听神经和面神经、三叉神经邻近,当肿瘤长大时,就有可能压迫到旁边的面神经和三叉神经,出现同一侧的面部症状,比如面部的麻木感、面肌抽搐、面瘫等。随着听神经瘤体积不断增大,会压迫脑干、小脑及后组脑神经,引起偏瘫及偏身感觉障碍、小脑性共济失调、步态不稳、发音困难、声音嘶哑、吞咽困难、饮食呛咳等。如果发生了耳鸣,尤其是单侧高音调持续性耳鸣,同时还伴有听力下降、眩晕、恶心、呕吐等症状,一定要引起重视,尽快就诊,以免诊断不及时病情恶化。(一师医院宣传科:黄叶叶)